Subperiosteal Implant Generator

Automated geometric fitting system for patient-specific implant planning from CT data.

Sector:

Medical

Year:

2024

Tools:

Rhino, Grasshopper, Custom geometry processing pipeline

Outcomes:

Automated geometric fitting system for patient-specific implant planning from CT data.

Context

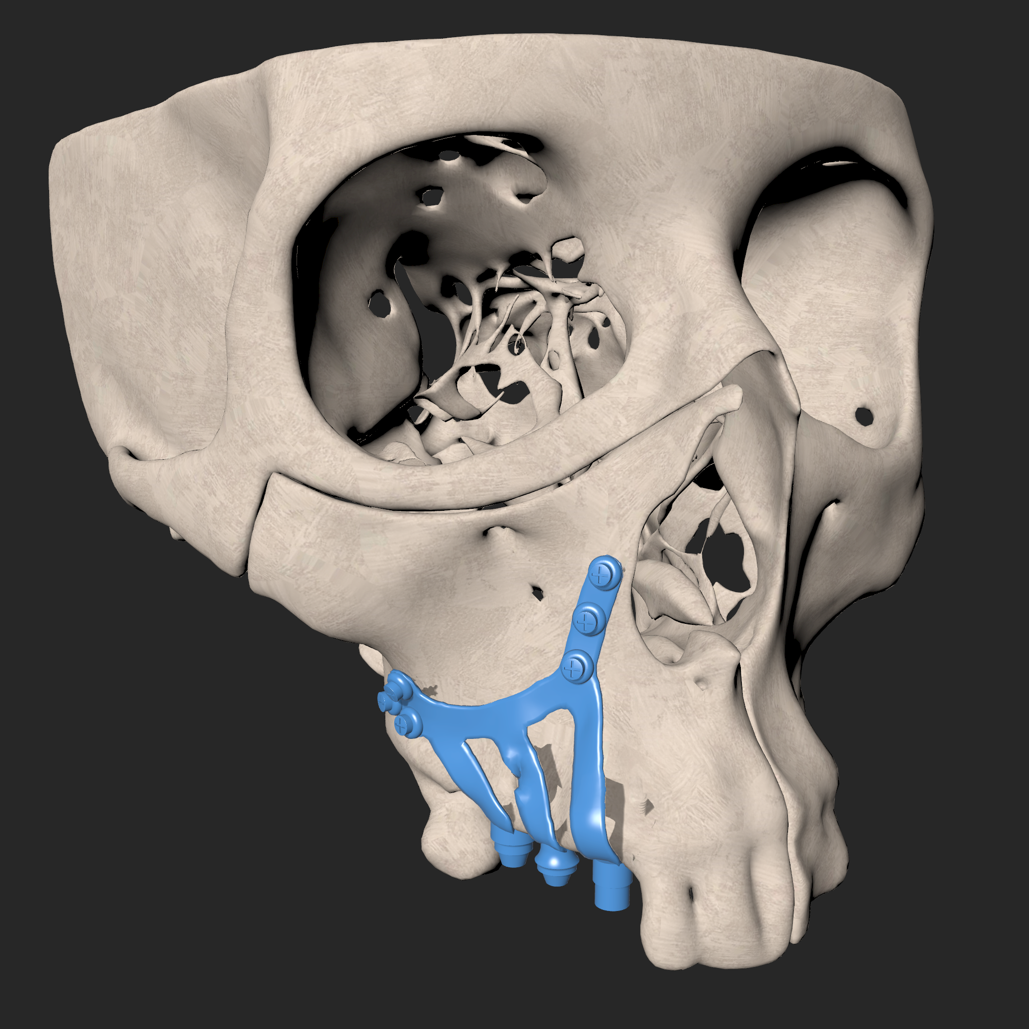
This system was developed to automate the design of patient-specific subperiosteal implants based on CT scan data.

The workflow translates segmented anatomical surfaces into controlled parametric geometry, enabling precise fitting and structural reinforcement logic.

The goal was to reduce manual modeling time while increasing reliability and repeatability in clinical planning environments.

Manual implant modeling from CT data was time-consuming and inconsistent across cases.

Key challenges included:

  • Handling high-density anatomical meshes
  • Maintaining curvature fidelity during fitting
  • Embedding structural reinforcement logic
  • Ensuring repeatable geometric output

The system needed to operate within real clinical constraints and allow controlled parameter adjustment.

System Architecture

CT SCAN
SEGMENTATION
SURFACE PROCESSING
PARAMETRIC GENERATOR

Interactive System Demo

Interactive System Demo

Results

The resulting workflow achieved:

  • 50% reduction in planning time
  • Standardized implant generation process
  • Increased anatomical fitting reliability
  • Integration-ready geometry for validation and manufacturing

The system replaced manual modeling with a rule-based parametric architecture.

I design systems that transform complexity into controlled geometry